
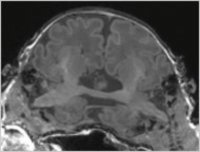
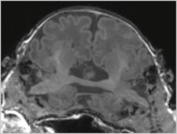
Перед вами — уникальное МРТ сразу двух человек. Это МРТ Кристы и Татьяны Хогарт. Они — краниопаги, сросшиеся черепами сиамские близнецы. Но их случай — совсем особый случай.
Дело в том, что они срослись еще и таламусами: на МРТ отчетливо виден нейронный мост между этими глубинными областями мозга сестёр. Сейчас девочкам 10 лет, однако интеллект их оценивается на 5-6. Однако удивительно другое: одна девочка может делиться напрямую через мозг ощущениями с другой. Если одна девочка, которая любит кетчуп, попробует его, другая, не любящая, скривится. Одна сестра с закрытыми глазами может видеть то, что видит вторая. Этот уникальный случай в истории нейронаук ещё ждёт подробного исследования, однако врачи не спешат, боясь травмировать психику девочек.



