Американские ученые из Центра изучения химической чувствительности Монела доказали, что запах начинает влиять на поведение детей примерно с пятилетнего возраста.

Американские ученые из Центра изучения химической чувствительности Монела доказали, что запах начинает влиять на поведение детей примерно с пятилетнего возраста.
Пролистайте любой учебник по нейрофизиологии и вы найдёте упоминание о пионерах XIX века, Поле Брока и Карле Вернике, которые показали, что образование речи и её понимание заключены в двух отдельных областях мозга, которые так и известны, как области Брока и Вернике.
«Послушайте!», — так начинает стихотворение поэт Владимир Маяковский. А как мы слышим то, что больше интересно, когда вокруг шумно? Нейробиологии из университета Маккуори изучили, как адаптируются слуховые нейроны к окружающим звукам. Оказалось, что в знакомой среде, человек быстрее привыкает к уровню шума. Статья с исследованиями опубликована в Nature Communications (IF=11.329)
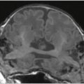
Перед вами — уникальное МРТ сразу двух человек. Это МРТ Кристы и Татьяны Хогарт. Они — краниопаги, сросшиеся черепами сиамские близнецы. Но их случай — совсем особый случай.
Контакты по вопросам сотрудничества
и консультаций Ененковой Л.Н.ПИСАТЬ
WA +7(978)109-03-92
Основной новостной канал
МАЯК СЕНСОРНОЙ ИНТЕГРАЦИИ
https://t.me/sensornaya_integraciya
Copyright ©2013- 2023 Ассоциация специалистов сенсорной интеграции.